前牙美學!笑容變美的關鍵~
- orthokoko
- 2025年10月29日
- 讀畢需時 1 分鐘
已更新:4月15日

矯正醫師調整好每顆牙齒的位置,改變整體空間分布,臉型輪廓,
最後要達到理想的美觀,神來之筆便是不可或缺的前牙美學!
美麗的微笑曲線,『牙齒位置』『牙齦位置』『牙冠形狀比例』『牙齒顏色』都很重要!!!
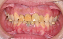
第一個案例,前牙擁擠的情況使得假牙醫師沒有辦法做上理想的假牙,因此我們
1) 先矯正牙齒,調整好牙冠和牙根的位置以後,接著美白牙齒療程,
2) 再配合牙周專科調整牙齦線,
3) 做上理想形狀的全瓷牙冠
第二個案例,前牙除了擁擠,還有缺牙的情況,
我們利用矯正治療改變牙齒分佈的位置,齒位取代的方式,
再調整牙齦線和做上全瓷冠達成前牙美觀,
因此不需要再植牙,便解決缺牙的問題。
第三個案例 隱適美矯正治療完,因門牙缺角而美中不足的地方,
配合牙齒美白及陶瓷貼片後,得到最棒的結果!
治療計畫要考量很多細節,諮詢評估時柯醫師會提出細節和您充分溝通,
除了矯正療程以外,
必要時仍需要神隊友 -- 假牙/牙周專科的介入,才能達到最棒的結果喔!!


















































































留言