智齒往前拉,解決缺牙問題
- orthokoko
- 2021年5月19日
- 讀畢需時 1 分鐘
已更新:2021年7月11日
有牙齒壞了必須拔掉,缺牙的地方怎麼辦,一定要植牙嗎?
缺牙的地方,除了植牙與做牙橋的選項之外,
可以評估是否適合用矯正的方式將缺牙空間關閉,
全口矯正治療時會將全口咬合功能與外觀做全面性的評估,
來決定最後的牙齒分布方式。
我們來看看這個案例,病患因為牙齒不整齊,原來就有想過要做矯正,
因為有幾顆牙齒預後不佳要被拔除,一般牙科醫師轉介過來評估。
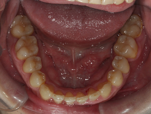
治療前:
右上第一小臼齒跟左下第一小臼齒都蛀掉了,附近有牙齒擁擠的情況,
左下有完整萌發出來的智齒!
我們決定將右上缺牙空間關閉,將左下智齒往前拉,取代被拔掉的缺牙,
病患便不需要植牙或做假牙了
治療後:
比較前後:
智齒能否留下來,是否適合以矯正的方式拉過來使用,都必須要全面評估過後才能決定喔!
[ 本網站所有照片圖片禁止外流/盜用/拷貝,盜圖行為必定使用法律途徑追究。]






















































留言